
Newton, MACosmetic Dentistry
Smile makeovers that feel like you
Cosmetic dentistry isn’t really about looks, it’s about how you feel when you walk into a room, laugh with your friends, or see yourself in the mirror. At Dr. Ted Filandrianos & Associates, we combine modern technology, an artistic eye, and active listening to enhance your smile naturally and beautifully. Whether you want to make a subtle change or completely transform your smile, we’ll walk you through personalized solutions to get the look you want.


Our cosmetic treatments
We offer both KoR and Zoom whitening systems to give you bright, long-lasting results without the sensitivity. KoR combines take-home and in-office treatments for the most dramatic changes, while Zoom is perfect for a quick boost in a single visit. We’ll help you choose the right system for your smile and your schedule.
Bonding is a simple, cost-effective solution to fix chips, close small gaps, or improve tooth shape. We use custom-shaded composite material that blends seamlessly with your natural enamel. In most cases, the treatment takes just one visit—and no numbing is needed.
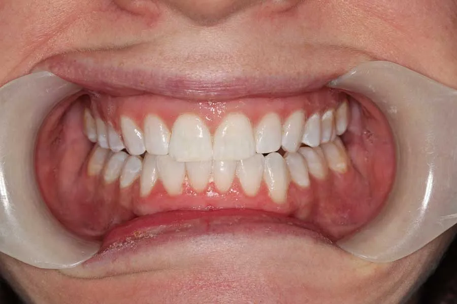
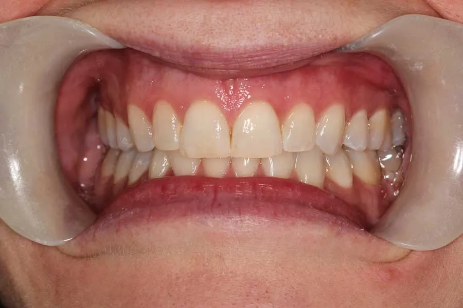
Do you want a dramatic yet natural-looking upgrade? Veneers are the gold standard. These thin porcelain shells are custom-designed to enhance the shape, size, and color of your teeth. Our team uses digital imaging, mock-ups, and test-drive temps to help you preview your new smile before anything is permanent.
When you look good, you feel good. That’s why our cosmetic solutions don’t end with your teeth. We offer Botox to smooth facial lines, rebalance your smile, and even relieve jaw tension from TMJ. Treatment is quick, and results can last for several months. Dr. Gadeberg is certified in Botox for TMJ pain and has extensive training in cosmetic enhancement for results you can count on.
You have a few enhancements you want to make, but you don’t know where to start. That’s where we come in. When you have a clear vision, combining services gets you the best results. Whether it’s whitening and veneers or aligners followed by bonding, we’ll create a custom smile makeover plan that meets your needs and exceeds your expectations. Using digital design, 3D imaging, and high-quality materials, we focus on detail-driven results you can see and feel. Plus, our digital design allows you to see your results before even starting.
We offer SureSmile clear aligner therapy as a discreet, comfortable option to straighten your teeth. Unlike braces, these custom-fit trays are nearly invisible and removable, making it easier to maintain your daily routine. Both Dr. Gadeberg and Dr. Mehregan are trained in aligner therapy and can help you achieve the alignment you need before cosmetic work or as a stand-alone treatment.
Frequently Asked Questions
Still have questions?
We're happy to help! Get in touch with our team.
We start every cosmetic case with a consultation and digital evaluation to understand your goals, assess your smile, and walk you through your options.
While veneers are a long-lasting solution, they aren't permanent. Typically, we see veneers last up to 10 years or more with proper care. To preserve your veneers, it's vital to maintain your healthy oral hygiene habits, including coming to your bi-annual dental checkups! From there, we can ensure your teeth and gums stay healthy and check in on your veneers.
Yes—especially with KoR Whitening. It’s designed for minimal sensitivity while delivering bright, consistent results.
Absolutely. Many patients choose to align their teeth first, then finish with whitening or bonding to perfect the shape and color. We’ll help you plan the right timeline.
Yes. Our in-house periodontist and hygiene team provide periodontal maintenance, deep cleanings, and even surgical treatments like gum grafting when needed.

It starts with listening and ends with a smile you love
Let's get you scheduled.
Serving Boston, Wellesley, Needham, Waltham, Brookline, Waban, Dedham, and beyond!


