
Newton, MARestorative Dentistry
Why choose restorative dental care?
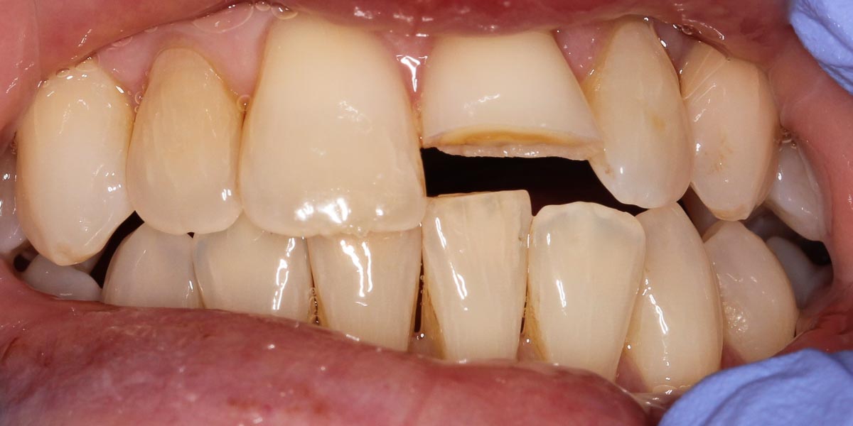
Restorative dentistry is all about helping you feel confident again. Whether you're dealing with cavities, cracked teeth, missing teeth, or worn-down restorations, our advanced technology and compassionate approach makes rebuilding your smile feel seamless.With the Solea Laser, CEREC same-day crowns, and digital 3D imaging, your treatment is faster, easier, and more comfortable than ever. And with in-house specialists in implants, TMJ, and orthodontics, we handle complex cases without sending you across town.


Our restorative treatments
We use tooth-colored composite fillings and the Solea laser to treat cavities comfortably, often without any numbing. Patients love that they can return to their day without the lingering effects of anesthesia. Plus, our fillings are designed to blend with your natural tooth color for a beautiful, functional result.
Implants are the gold standard for replacing missing teeth–and we do the placement and restoration, including crowns, bridges, or a full arch, right here in our office. Using top-quality systems and durable, high-quality materials that withstand any food you want, implants feel (and look) just like your own teeth.Button: Learn More
Thanks to our in-house CEREC Primescan and Primemill system, most crowns can be completed in under 90 minutes. That means no messy impressions, no temporary crowns, and no second appointment. Walk in with a broken tooth and walk out with a beautiful, permanent restoration.
Bridges are a reliable solution for replacing one or more missing teeth. Whether traditional or implant-supported, we customize every bridge to fit comfortably and restore your ability to chew, speak, and smile with ease.
If you are experiencing failing teeth or full-arch tooth loss, our All-on-X solution offers a life-changing transformation. In many cases, we can provide extractions, implant placement, and a full set of teeth, all in one day. A confident new smile with fewer appointments and faster results.
When it comes to our care, we set ourselves to the highest standard. And that includes investing in state-of-the-art technology that transforms how you view dental visits. The Solea laser allows us to perform most fillings, gum treatments, and soft tissue procedures without drills or needles. It’s faster, quieter, and far more comfortable–especially if you have dental anxiety. We also use it to treat snoring through Solea Sleep. Curious to learn more? Book your appointment and see for yourself how easy dental care can be.
Our in-house TMJ and neuromuscular dentistry expert, Dr. Ramin Mehregan, helps patients find lasting relief from jaw pain, headaches, and bite problems. Through advanced diagnostics and customized therapy, which may include noninvasive solutions like Botox, we treat the root of the issue to relieve your pain.
Frequently Asked Questions
Still have questions?
We're happy to help! Get in touch with our team.
Not always! Thanks to the Solea Laser, we can often complete fillings without any numbing at all. It’s quick, comfortable, and there’s no downtime.
Most crowns are completed in under 90 minutes thanks to our in-house CEREC system, no second visit or temporary crown required.
We offer full-arch implant solutions (All-on-X) that can restore your entire smile—often in one day. We’ll walk you through every step.
Not at our office. We use gentle techniques and modern tools to make the experience as comfortable as possible, many patients say it’s easier than getting a filling.

It starts with listening and ends with a smile you love
Let's get you scheduled.
Serving Boston, Wellesley, Needham, Waltham, Brookline, Waban, Dedham, and beyond!


